【案例故事】
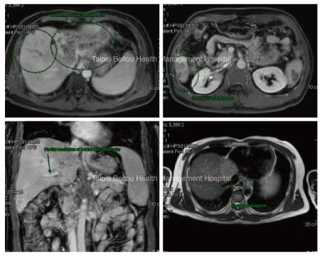
陳先生為肝癌病人,於大陸接受過栓塞治療及放射治療,2016年6月底於大陸接受PETCT檢查,發現肝癌復發現象,陳先生透過通路表明來台治療。本院先請陳先生提供在大陸檢查治療的病歷資料,經本院醫師與臺北榮總放射線部肝癌治療團隊李主任聯繫會診討論,陳先生屬肝癌末期病人,李醫師經評估後可進行釔90肝癌治療;本院轉知陳先生並安排陳於8月7日到本院健檢,經MRI檢查影像符合肝癌診斷,同時造成肝門靜脈阻塞,與一個月前影像相比較,疾病仍在持續惡化中,另脾臟腫大,最大直徑約14.3×9.9 公分,起因於肝門靜脈阻塞或肝硬化,癌症腫瘤指數偏高,經本院醫師解說後,陳先生希望盡快轉榮總治療。
本院醫師與李主任聯絡後於2016年8月9日安排陳先生至榮總,再經李主任詳細評估後,陳先生於8月21日入院接受釔90肝癌治療,在陳先生希望下,並會診腫瘤醫學部,經評估後可做免疫治療,陳先生接受6次免疫治療,現恢復情況很好。
陳先生復於2016年12月8日在到本院接受無痛內視鏡檢查,並於107年2月底再來台,專程到榮總拜會李主任、趙主任,表達感謝醫治救命之恩。(160807)
【檢查工具】
零輻射磁振造影(MRI)
【檢查結果】

零輻射磁振造影(MRI)檢查後發現肝門靜脈阻塞及脾臟腫大,最大直徑約14.3×9.9 公分